术前检查
患者:女 年龄:30
主诉:右上后牙食物嵌塞不适
现病史:右上后牙有洞多年,食物嵌塞不适,要求补牙,遂来我院就诊
既往史:既往体健
口腔检查:右上4大面积龋坏,可见食物嵌塞,冷诊无反应,叩( -),探(-),黏膜颜色无异常
辅助检查:龋坏穿髓,余无异常

诊断:右上4残冠
右上4牙髓坏死
治疗计划:①:拔除,种植修复
②:根管治疗,桩冠修复
患者采取计划②,因牙体缺损较多修复远期效果不佳,告知患者后期可能出现修复体折断等问题,患者知情同意并接受
术中治疗
去腐,放置橡皮障隔离

放置豆瓣成型片,髓腔内放置特氟龙隔离
检查边缘是否密合,不密合的位置可以放置特氟龙挤压
树脂制备假壁
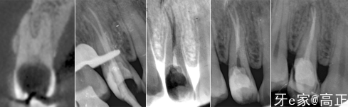
根管预备
放置氢氧化钙封药
侧面检查是否存在悬突
颊舌侧各放置一枚纤维桩,基牙预备
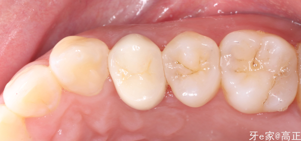
聚合瓷全冠
需要注意的是调整侧方咬合,尽量减轻4号牙的侧方合接触
X片检查