熙美口腔黎卓群
我的2022——根管再治疗后的纤维桩全瓷修复
2022/09/19
术前检查
患者信息
姓名:刘先生 年龄:38岁
病史
主诉:左上前牙外伤一周
现病史:
患者五年前曾在国外因前牙肿痛行“根管治疗”,一周前因外伤导致左上前牙冠折,于外院紧急处理后暂封,仍感觉疼痛不适,现来我院要求治疗及修复缺损。
既往史:既往体健,有疫苗接种史,无家族病史,无疫区接触史,否认系统性疾病与牙科治疗相关的过敏史。
检查
口外检查:
面部无明显不对称及肿胀;无颞下颌关节弹响,下颌运动范围正常,无张口受限及开口偏斜。
口内检查:
口内唇、颊、舌、口腔黏膜及咽部软组织正常,口腔卫生较差,全口牙龈颜色正常,无明显红肿,探诊无明显出血。牙菌斑指数PLI=3
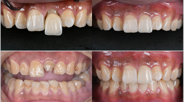
21 颈部1/2处 横折,断端位于龈上5mm,牙冠断端根管口可见白色充填物,叩痛(++),探痛(-),无明显松动, 21间隙较11宽度小。
11 近中邻面龋坏,叩痛(-),探痛(-),无明显松动
22 远中邻面龋坏,叩痛(-),探痛(-),无明显松动
25 近中邻面深龋洞,叩痛(-),探痛(-),无明显松动
26 近中邻面深龋洞,叩痛(-),探痛(-),无明显松动
27 ?面深龋洞,叩痛(-),探痛(-),无明显松动
36 远中?面深龋洞,牙冠大面积缺损及龈下,窝洞内大量腐质及食物残渣,探及髓室底部已穿通,叩痛(++),松动度I°
37 ?面深龋洞,探痛(-),叩痛(-),无明显松动
46 远中?面深龋洞,牙冠大面积缺损及龈下,窝洞内大量腐质及食物残渣,探及髓室底部已穿通,叩痛(++),无明显松动
47 ?面深龋洞,探痛(-),叩痛(-),无明显松动
18 远中阻生
28 正位萌出
影像学检查
CT显示: 21 冠折,根长尚可,未行根管治疗,根尖低密度透射线。
11 近中可见低密度透射区
22 远中邻面可见低密度透射区,距离髓腔约1mm
25 近中邻面可见低密度透射区,距离髓腔较远
26 近中邻面可见低密度透射区,距离髓腔较远
27 ?面可见低密度透射区,距离髓腔约2mm
36 冠部大部分低密度影像,根分叉处、根管内及根尖周均可见大面积低密度透射区
37 ?面可见低密度透射区,距离近中髓角约1.5mm
46 冠部大部分低密度影像,根分叉处、远中根管内及根尖周均可见大面积低密度透射区
47 ?面可见低密度透射区,距离髓腔较远
38 低位水平埋伏阻生
48 低位近中埋伏阻生
诊断
(1)21 冠折、慢性根尖周炎
(2)11、22、25、26、27、37、47 深龋
(3)36、46 残根、慢性根尖周炎
(4)18、28、38、48 阻生牙
治疗计划及评估
治疗计划
(1)21 行根管治疗+纤维桩核+全冠修复
(2)11、22、25、26、27、37、47 充填治疗
(3)全口洁治
(4)36、46 拔除后位点保存,择期种植修复
(5)18、28、38、48 择期拔除
评估
该患者剩余牙根长度尚可,且断面位于龈上5mm,评估可获得较好的固位及抗力,因21近远中距离小于11近远中距离,从美观角度考虑,适量调整11、22近中邻面,给21修复体留有合适的空间,使其两切牙更协调,经与患者协商,确定以下治疗方案:
(1)21 行根管治疗+纤维桩核+全冠修复(包括11、22 邻面修整)
(2)全口洁治
(3)11充填治疗
告知患者详细治疗计划、所需时间、费用及可能存在的风险,患者知情同意。
治疗步骤
(1)告知患者治疗目的及其局限性,并向患者宣传口腔预防及口腔卫生保健相关知识。
(2)采集术前病例资料
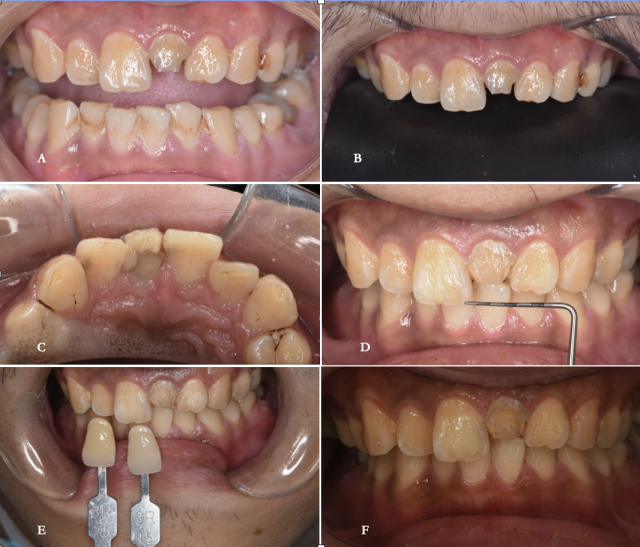
术前口内照片 A.术前唇面照;B.术前黑背板照;C.术前舌侧照;D.术前牙齿宽度测量;E.牙周基础治疗后的比色照;F.偏振光照看牙齿纹理

术前CBCT示根尖周低密度透射影

术前影像学资料及口腔检查表
(3)21行根管治疗术
初次就诊
① 21 去除原根管口的暂封物,40号K锉探查根管,测量工作长度为19.5mm,拍试尖片确定达根尖区,手动K锉联合机动镍钛器械预备根管至#40/06,术中5.25%NaOCl+17%EDTA交替冲洗,终末生理盐水冲洗,吸干,导入VitaPEX糊剂,玻璃离子暂封两周。
② 全口超声波洁治

术中治疗 A.EDTA润滑根管;B.手用扩锉针根管疏通;C.5.25%NaOCl与生理盐水交替冲洗;D.机用马达根管预备
第二次复诊
患者诉无不适。
检查 :21暂封存,无叩痛。
处理:21 去暂封物,3%NaOCl与17%EDTA结合,超声锉被动荡洗去尽VitaPEX糊剂,干燥根管,试主牙胶尖,AH-Plus+热牙胶垂直加压充填技术充填中下段根管,X线片确认根管下端充填质量良好。酒精棉球玻璃离子暂封一周。

术中治疗 A.超声根管荡洗;B.热牙胶充填后影像
第三次复诊
患者诉无不适。
检查:21暂封存,无叩痛。
处理:

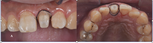
术中治疗 A.桩道预备完成;B.纤维桩试合;C.充填树脂水门汀;D.纤维桩就位

A.树脂核堆塑;B.牙体预备;C.根尖保留4mm根充物植入纤维桩的术后影像;D.两中切牙近远中比例检测;E.11去龋;F.11树脂充填,11、22邻面去釉抛光
牙体预备排龈 A.唇面观;B.?面观

第四次复诊
患者诉无不适。
检查:21临时牙存。
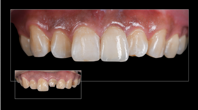
处理:口内试戴全瓷冠,检查就位情况、冠边缘密合无悬突、邻接关系紧密、外形及颜色患者满意、无咬合高点及咬合干扰,粘固修复体。
对患者术后卫生指导及术后维护治疗,包括定期洁牙,正确使用软毛牙刷、牙线等。


术后随访 一个月后患者复诊再进行评估,此后每6个月复查一次。
【总结】
桩核冠是修复大面积牙体缺损缺损的一种常用方法。桩核冠制作时的要求:①桩的长度为根长的2/3~3/4,且不能短于临床牙冠长度;②桩的形态适应根管形态,常为锥形;③核的形态应与牙冠保留的牙体组织共同形成冠制备体形态;冠的边缘要位于根面牙体组织上。④冠的边缘位于根面牙体组织上。
全冠边缘位置设计(龈上、齐龈、龈下):对于非美学区域,通常制备齐龈或龈上边缘,以减少预备过程中牙龈组织损伤,增加修复体的自洁性;而在美学区域,通常选择龈下边缘。本病例中因患者口腔卫生维护不是太理想,牙面由于菌斑生物膜的堆积导致牙龈炎,再者该患者属于低位笑线,结合患者实际情况,从远期效果考虑,与患者沟通,最终将该修复体边缘确定为齐龈边缘。
患者对治疗效果十分满意,并愿意通过良好的口腔卫生行为维护最终修复体。
