口腔小?
我的2025。活髓切断➕断牙再接
2025/01/23

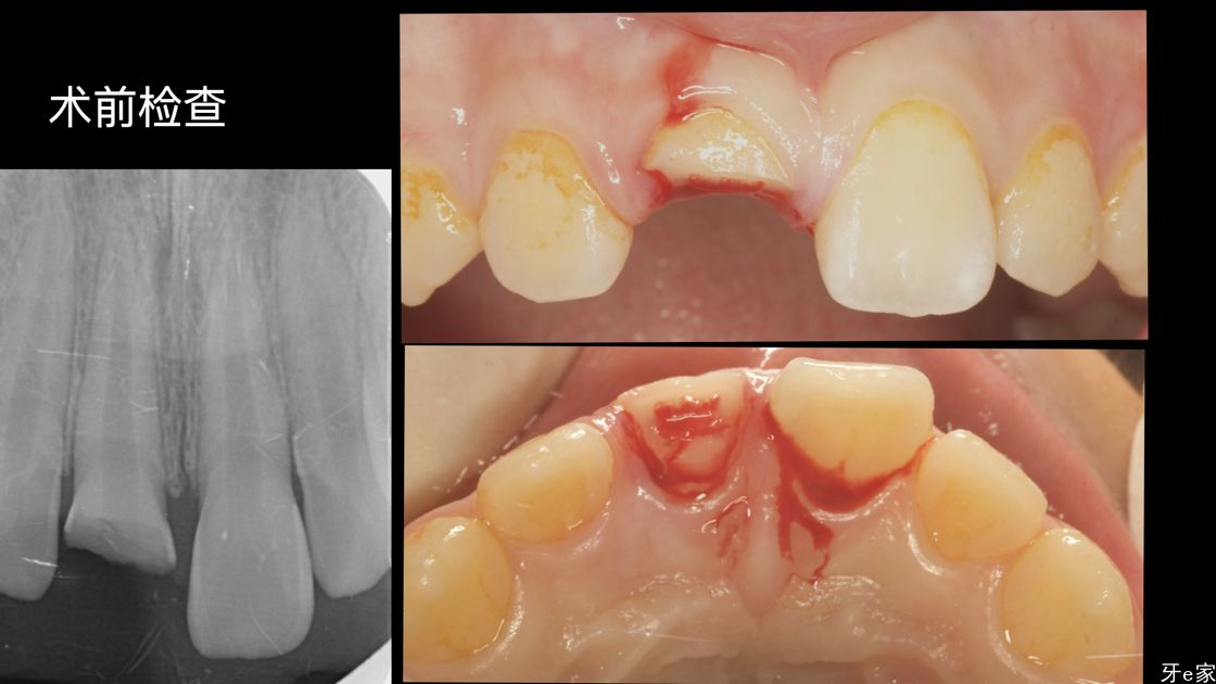
术前检查


术中治疗

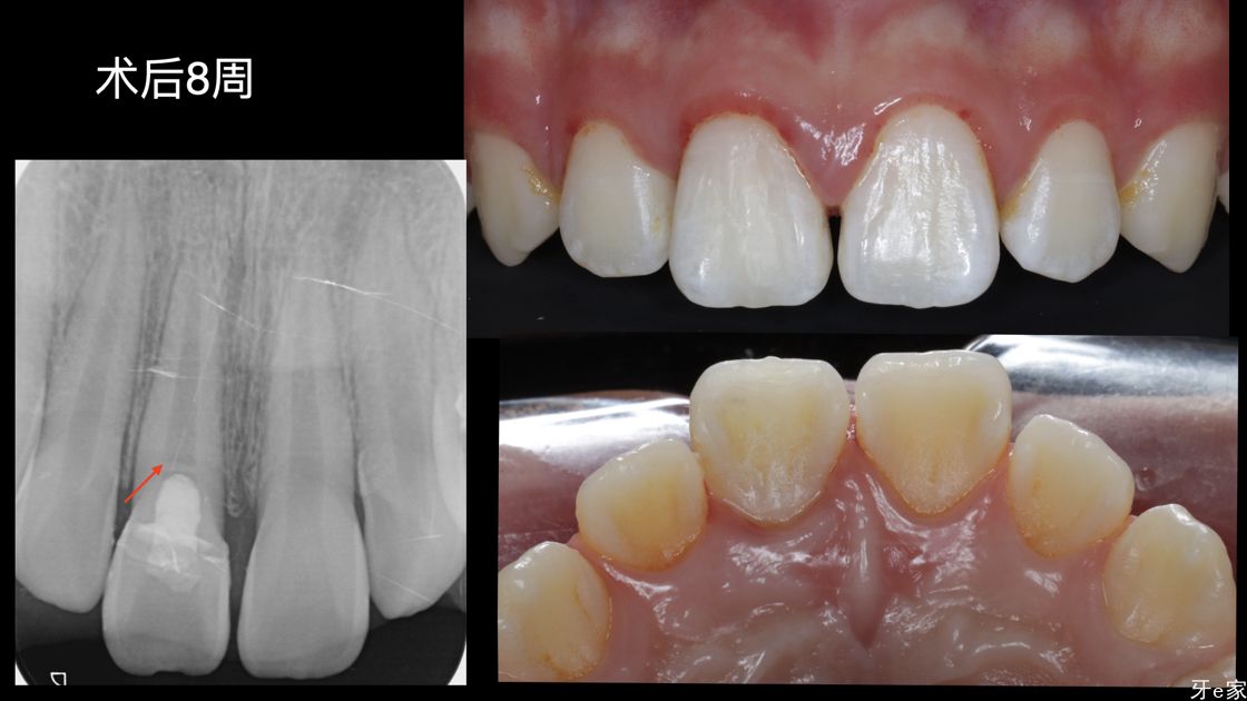
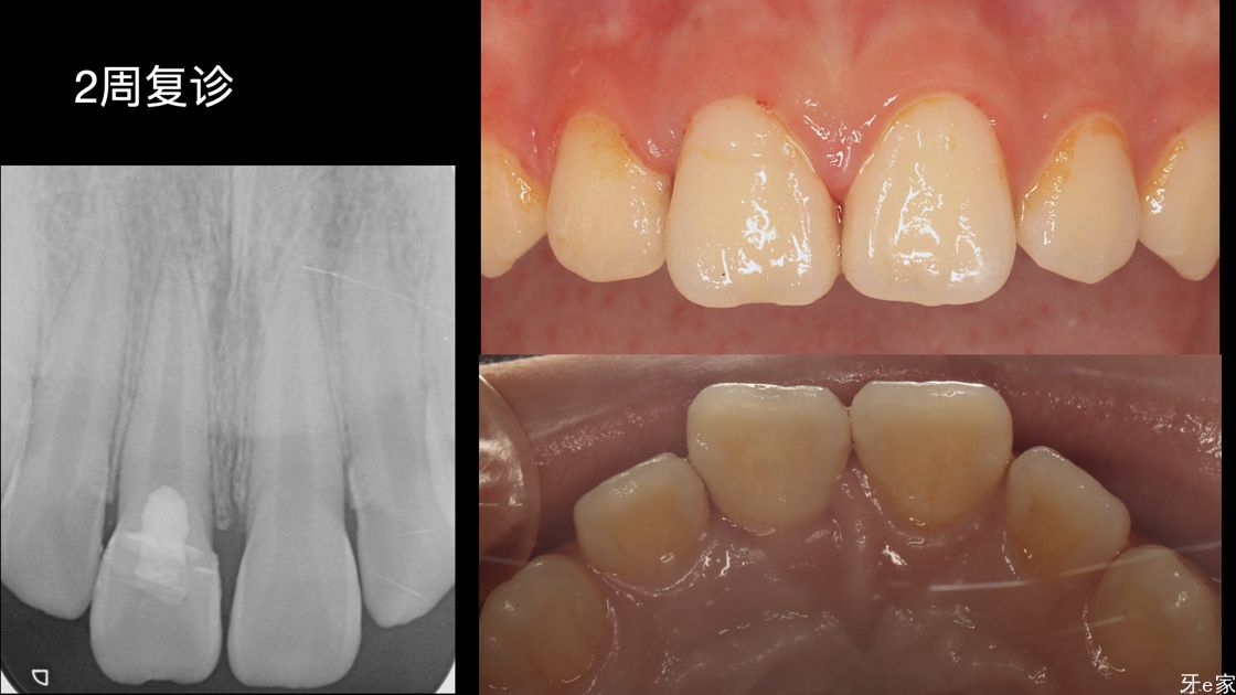
术后总结