正畸牙医张鹏飞
我的2025----严重骨突“进化史”
2025/03/05

术前检查






































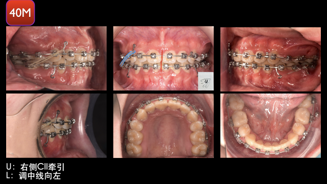
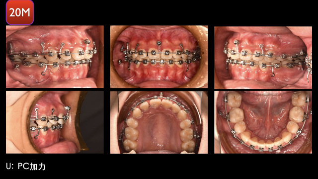
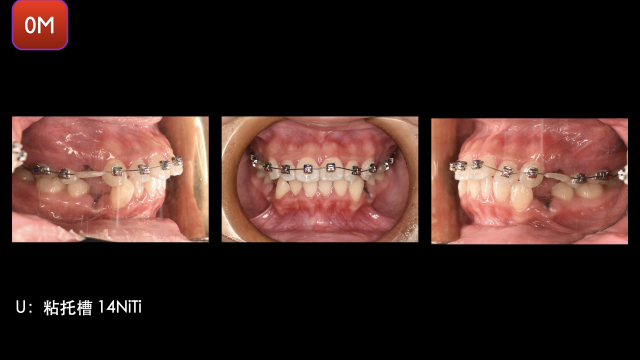
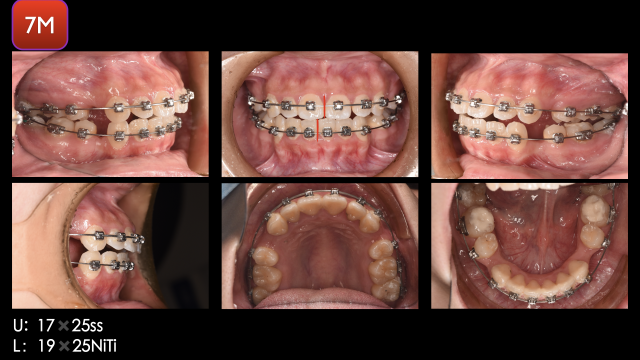
术中治疗











































术后总结