宋书成
我的2025-肌功能矫治
2025/09/04

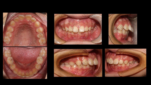
术前检查



















术中治疗















术后总结