术前检查
2. 主诉
上前牙间隙影响美观要求关闭。
3. 现病史
患者自述3年前因上前牙间隙在外院行“唇系带修整术”,术后上前牙间隙未明显改善,期间无牙齿疼痛、松动、牙龈出血等不适。近1个月自觉上前牙间隙对外观影响明显,为关闭间隙遂来我院就诊。发病以来,饮食、睡眠正常,无全身不适。
4. 既往史
3年前外院行“唇系带修整术”,恢复良好。否认高血压、糖尿病、心脏病等全身系统性疾病,否认药物过敏史,否认肝炎、结核等传染病史,否认其他口腔手术史。
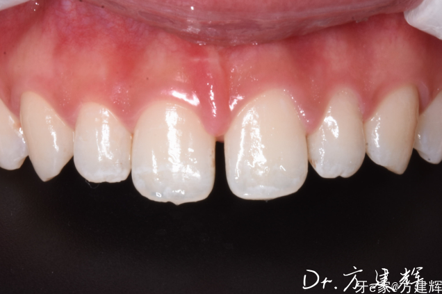
5. 口腔检查
口外检查:面部对称,无明显畸形;上唇系带附着位置正常,无过短、异常牵拉表现,口唇部皮肤及黏膜无红肿、破损,张口度及张口型正常。
口内检查:牙列完整,11、21牙冠形态正常,21牙冠往远中微偏,11 21牙冠高度不一致,牙面光滑,无龋坏、缺损及无充填体,11与21之间存在约2.0mm间隙,间隙处牙龈乳头形态有肿大,颜色粉红,探诊无出血,探诊深度2mm,无附着丧失;余牙无龋坏、牙周袋,咬合关系为中性关系,无早接触、咬合创伤。
6. 诊断
11、21牙性间隙
7. 治疗计划
8. 术前完善口腔卫生指导,若存在牙菌斑、软垢,先行牙周基础治疗(洁治);
9. 与患者沟通后,可选择以下方案关闭间隙:
- 方案一:树脂充填修复,磨除少量牙体组织,采用复合树脂堆塑关闭间隙,优点为治疗周期短,费用较低;
- 方案二:瓷贴面修复,制取印模制作瓷贴面粘接修复,优点为美观性、耐磨性好,缺点为费用较高,需多次就诊;
- 方案三:正畸治疗,通过固定或隐形矫治器逐步内收11、21,关闭间隙,优点为无牙体组织磨损,缺点为治疗周期长(约1-2年)
10.术后告知患者维护方法,定期复诊 (树脂直接修复建议每6个月复诊,正畸治疗按矫治周期复诊)。
11. 知情同意
已向患者详细告知上述治疗方案的优缺点、治疗周期、费用及可能风险(如树脂直接充填可能出现着色、磨损,正畸治疗可能出现牙齿松动、牙龈炎症等),患者理解并自愿选择第一种方案,签字确认。

术中治疗
树脂直接充填修复(关闭11、21间隙)治疗过程与步骤
1. 术前准备:对患者进行口腔卫生清洁,用口内相机拍摄牙齿现状,与患者再次确认修复范围及预期效果

2.橡皮障下进行喷砂,抛光等处理去除牙面菌斑、软垢避免杂质影响树脂与牙体的粘接强度。(预处理:使用27-50μm氧化铝喷砂,压力0.2-0.4MPa,距离10-15mm,角度45°-90°,持续10-15秒,彻底清除牙面碎屑)

3. 酸蚀与粘接:用橡皮障隔离术区,防止唾液污染;在处理后的牙面涂布37%磷酸酸蚀剂,邻牙用特氟龙隔离。静置20-30秒后用水汽彻底冲洗30-60秒,吹干牙面至呈白垩色;均匀涂抹一层牙体粘接剂,光照固化10-20秒,建立树脂与牙体的粘接基础。


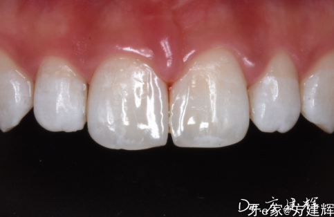
4. 树脂堆塑与塑形:选取匹配牙色的复合树脂,分层次在11、21唇面及邻面间隙处堆塑,先填充邻面间隙以关闭缝隙,再塑形唇面及腭侧形态
5. 光照固化与修整:每堆塑一层树脂(厚度不超过2mm),用可见光固化灯照射40-60秒使其完全固化;树脂全部堆塑完成后,用黄标金刚砂车针修整牙、唇面,去除多余树脂,避免咬合高点。
6. 抛光与咬合检查:用稳昊树脂抛光轮对树脂表面进行抛光,直至表面光滑有光泽,与天然牙质感一致;让患者进行咬合动作,用咬合纸检查是否存在早接触或咬合创伤,若有则进一步调整,确保咬合关系正常。

7. 术后指导:告知患者术后24小时内避免用患牙咀嚼过硬、过黏食物(如坚果、年糕);指导正确的口腔清洁方法(使用软毛牙刷、含氟牙膏,配合牙线清洁邻面);提醒按医嘱每6个月复诊,检查树脂充填材料是否有着色、磨损或脱落情况。
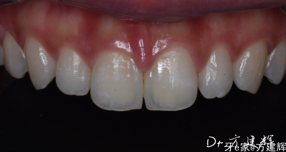
8.术后一周复诊

术后总结
一.唇系带修整术后牙缝未加重也未改善,核心原因是手术消除了唇系带对牙龈及牙齿的异常牵拉,阻止了间隙进一步扩大的可能,具体可从以下两点解释:
1. 解除了“动态牵拉隐患”:术前若存在唇系带过短或附着过低,患者张口、说话、微笑时,唇系带会持续牵拉11、21间的牙龈乳头,长期可能导致牙龈退缩、牙齿邻面接触关系进一步松散,使原有间隙逐渐变宽。手术修整后,唇系带附着位置恢复正常,无异常拉力作用于牙龈和牙齿,相当于“切断了间隙扩大的诱因”,因此牙缝不会再因唇系带问题加重。
2. 未改变“核心病因(牙性位置异常)”:患者牙缝的根本原因是(萌出时因唇系带的牵拉未靠拢)11、21牙性位置异常,唇系带异常为加重因素。手术仅解决了“辅助因素”,未改变牙齿本身的位置,因此原有间隙不会改善,但也不会因残留的“牵拉隐患”而恶化,最终呈现“间隙维持不变、未加重”的状态。
二.喷砂的意义
在牙科树脂修复领域,喷砂处理对提升树脂与牙体粘接强度的作用已得到多项研究的科学验证。
1. 物理粗化与杂质清除
喷砂通过高压气流带动砂粉(如氧化铝、碳酸氢钠)冲击牙面,形成微米级不规则结构(如沟壑、微孔),显著增加表面积(可达未处理表面的3-5倍)。这种粗糙度不仅机械锁合树脂,还能清除牙体预备后残留的碎屑、玷污层(Smear Layer)及唾液污染,为粘接剂渗透创造清洁界面。例如,《不同处理因素对复合树脂微渗漏影响的体外实验研究》显示,喷砂处理后牙面粗糙度从Ra 0.24μm提升至0.95μm,微渗漏程度降低40%以上。
2. 化学活性增强
喷砂可破坏牙釉质表面的羟基磷灰石晶体结构,暴露出更多活性位点,促进粘接剂中磷酸单体与钙的离子交换。同时,喷砂后牙面的亲水性提高(接触角从60°降至30°以下),使粘接剂更均匀铺展,形成更紧密的混合层(Hybrid Layer)。
三. 喷砂的注意事项与风险防控
-过度喷砂:压力过高(>0.5MPa)或时间过长(>20秒)可能导致牙本质过度脱矿,增加术后敏感风险。
- 污染控制:喷砂后需严格隔离唾液,避免二次污染;若使用碳酸氢钠喷砂,需彻底冲洗以防残留导致粘接剂降解 。
- 特殊病例:对氟斑牙、四环素牙等矿化异常牙体,建议先进行10%磷酸预处理,再行喷砂以增强效果。